100g 500g美国西梅干独立包装大颗酸甜厚肉蜜饯特产图片大全 邮乐官方网站
海澳德3.a 动铁耳机耳机产品图片1素材 it168耳机图片大全
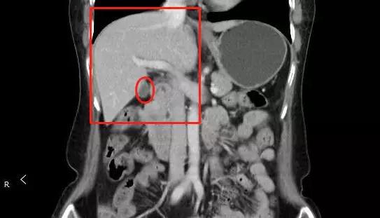
辽宁省沈阳医院泌尿生殖系统病症病历肾结石胆结石手术病历单图片
印度食品厂,原料全靠用脚清洗,这味道肯定酸爽
胆结石真正可怕的不是腹痛,看完惊出一身冷汗
咖啡因是有益健康,还是对健康不利 医生告诉你真相
胆固醇胆结石 ,像什么?
新区中医医院脾胃病科"ercp"治疗胆道蛔虫症胆结石,镜下微创恢复快
女子胸痛2周,以为胆结石,直到确诊肺癌晚期患者 我才30岁啊
胆结石是怎么形成的
头痛 肩痛 肚子痛 忍忍就过 有些痛真的不容忽视,可能是致命信号
什么是胆结石?造成原因有?该如何处理?术后如何保养?
人体胆结石疾病如何分类
科普 | 胆结石中“沉默的杀手”最恐怖!--一位肿瘤医生的肺腑之言
患胆结石的危险因素有哪些呢
胆结石吃什么中药能化掉
汉堡,素食,素食主义者,美味,肉丸子,垃圾食品,烘焙,快餐,吃,治疗,小吃,健康,麝香草,滚,烘焙食品,食品,沙拉,莴苣叶,手,面包店,拼写面包,白面包糕点,国产,面包,烤,主食,音乐,香脆,购物,多样性,食用
好消息 钇90微球国内获批,精准投放打击癌细胞,肝癌患者新曙光
胆结石可以吃白油吗
胆舒滴丸
如若转载,请注明出处:http://www.hzzyjs.com/product/list-12.html